Thứ Sáu, ngày 19 tháng 12 năm 2025

Cứu bé trai 3 tháng bị rò dịch dưỡng trấp khoang màng phổi

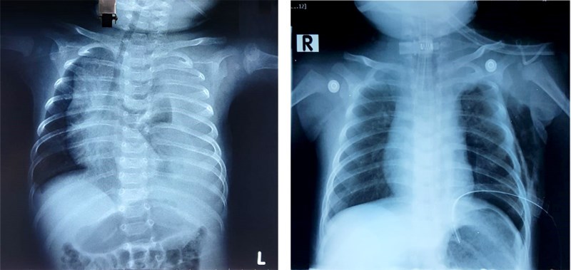
XQuang trước mổ (ảnh trái): Phổi bên trái có nhiều dịch, trắng xóa cả bên phổi. XQuang sau mổ (ảnh phải): Không còn dịch, phổi nở hoàn toàn

(Thanhuytphcm.vn) - Thông tin từ Bệnh viện Nhi đồng 2 ngày 14/12 cho biết, lần đầu tiên bệnh viện đã thực hiện thành công phẫu thuật nội soi thắt ống ngực cứu bé trai 3 tháng bị rò dịch dượng trấp (dịch trắng đục như sữa) khoang màng phổi.

Bệnh nhi nhập viện trong tình trạng khó thở nặng. Kết quả phim chụp X quang phổi của bé cho thấy tình trạng tràn dịch màng phổi bên trái với lượng dịch nhiều. Kết quả xét nghiệm dịch màng phổi phát hiện bệnh nhi bị rò dịch dưỡng trấp nghi do rò từ ống ngực vào khoang màng phổi.

Bệnh nhi đã được điều trị nội khoa tích cực nhưng dịch dưỡng trấp màng phổi vẫn ra mỗi ngày nửa lít. Các bác sĩ nhận định nếu không can thiệp phẫu thuật ngay bệnh nhi rơi vào tình trạng rất nguy hiểm do suy kiệt.

Bệnh viện đã hội chẩn thống nhất toàn viện và quyết định thực hiện phẫu thuật cho bệnh nhi ngay. Trong qua trình phẫu thuật, các bác sĩ đã quan sát lồng ngực bé bằng nội soi kĩ lưỡng, tìm và thắt được ống ngực (kích thước chỉ bằng 0,2mm) và tránh không làm ảnh hưởng tới các cấu trúc xung quanh. Nhờ được thực hiện bằng phẫu thuật nội soi xâm lấn tối thiểu, bệnh nhi đã hồi phục ăn uống lại bình thường rất nhanh và đã xuất viện 7 ngày sau mổ.

Các bác sĩ cho biết, rò dưỡng trấp hay tràn dịch dưỡng trấp màng phổi xảy ra khi ống ngực bị tổn thương chảy vào khoang màng phổi. Nếu rò dịch lượng lớn có thể gây thiếu hụt dinh dưỡng, rối loạn hô hấp, mất nước và rối loạn miễn dịch ảnh hưởng đến tính mạng. Việc điều trị rò dưỡng trấp màng phổi là một thách thức lớn. Ban đầu sẽ là điều trị nội khoa gồm nhịn ăn, dinh dưỡng đường tĩnh mạch, chế độ ăn kiêng và chờ đợi cho ống ngực lành lại. Trong trường hợp điều trị nội khoa thất bại sẽ phải tiến hành phẫu thuật. Tuy nhiên việc phẫu thuật cũng rất khó khăn do ống ngực là một cấu trúc giải phẫu rất khó tìm thấy và nhận biết ngay cả đối với người lớn, trong khi bệnh nhi trên chỉ mới 3 tháng tuổi.

S. Hải


Ý kiến bạn đọc

refresh
 

Tổng lượt bình luận

Tin khác

Thông báo